Also Known As
RBC count
Formal Name
Red Blood Cell Count
This article was last reviewed on
This article waslast modified on 9 January 2025.
At a Glance
Why Get Tested?

To evaluate any change in the number of red blood cells in your blood

When To Get Tested?

As part of a full blood count (FBC), which may be requested for a variety of reasons.

Sample Required?

A blood sample taken from a vein in your arm or by a finger-prick (children and adults) or heel-prick (newborns)

Test Preparation Needed?

No test preparation is needed

On average it takes 7 working days for the blood test results to come back from the hospital, depending on the exact tests requested. Some specialist test results may take longer, if samples have to be sent to a reference (specialist) laboratory. The X-ray & scan results may take longer. If you are registered to use the online services of your local practice, you may be able to access your results online. Your GP practice will be able to provide specific details.

If the doctor wants to see you about the result(s), you will be offered an appointment. If you are concerned about your test results, you will need to arrange an appointment with your doctor so that all relevant information including age, ethnicity, health history, signs and symptoms, laboratory and other procedures (radiology, endoscopy, etc.), can be considered.

Lab Tests Online-UK is an educational website designed to provide patients and carers with information on laboratory tests used in medical care. We are not a laboratory and are unable to comment on an individual's health and treatment.

Reference ranges are dependent on many factors, including patient age, sex, sample population, and test method, and numeric test results can have different meanings in different laboratories.

For these reasons, you will not find reference ranges for the majority of tests described on this web site. The lab report containing your test results should include the relevant reference range for your test(s). Please consult your doctor or the laboratory that performed the test(s) to obtain the reference range if you do not have the lab report.

For more information on reference ranges, please read Reference Ranges and What They Mean.

What is being tested?

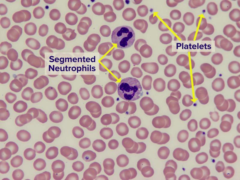
This test counts the number of red blood cells (RBC) in a litre of blood. Red blood cells, which are made in the bone marrow, carry oxygen from the lungs to the cells and transport carbon dioxide from the cells to the lungs. Women tend to have lower RBC counts than men, and levels tend to decrease with age. When the value decreases by more than 10% of the expected normal value, the patient is said to be anaemic.

How is the sample collected for testing?

The test is performed on a blood sample taken by a needle placed in a vein in the arm or by a finger-prick (for children and adults) or heel-prick (for newborns).

Is any test preparation needed to ensure the quality of the sample?

No test preparation is needed.

Accordion Title
Common Questions